درمان پولیپ رحم در ساری یا هر ناحیه دیگر نیاز به تشخیص دقیق و تصمیمگیری درمانی صحیح دارد. در مواردی که پولیپها علائم خاصی ایجاد کنند یا خطرات بیشتری مانند ناباروری یا سقطهای مکرر وجود داشته باشد، اقدامات درمانی مانند جراحی هیستروسکوپی ممکن است ضروری باشد. از آنجایی که پولیپهای رحمی میتوانند تأثیر زیادی بر سلامت باروری و وضعیت عمومی رحم داشته باشند، توجه به درمان مناسب و بهموقع آن اهمیت زیادی دارد. در این مقاله به تشخیص و انواع روش های درمان پولیپ های رحمی میپردازیم.
پولیپ رحم چیست؟
پولیپ رحم تودههای کوچک و نرم داخل حفره رحم هستند که از بافت آندومتر تشکیل میشوند. به همین دلیل به این تودهها پولیپ آندومتریال گفته میشود. اندازه پولیپها میتواند از چند میلیمتر تا چند سانتیمتر متفاوت باشد و ممکن است تنها یک پولیپ یا چندین پولیپ در رحم وجود داشته باشد. این پولیپها به طور معمول در قسمتهای بالای رحم مشاهده میشوند.
پولیپهای رحمی با لمس به صورت یک بافت گوشتی و نرم در داخل حفره رحم احساس میشوند. حفره آندومتر هر ماه تحت تاثیر تغییرات هورمونی قرار میگیرد. در این فرآیند، تخمک آزاد میشود و هورمونهای استروژن و پروژسترون باعث ضخیم شدن بافت آندومتر شده و سپس این بافت ریزش میکند که موجب وقوع سیکلهای قاعدگی میشود.
در طی این مراحل، ممکن است بخشی از بافت رحم به طور غیرطبیعی شروع به رشد اضافی کرده و تودههای گوشتی ایجاد کند که به این تودهها پولیپ رحم گفته میشود. درمان پولیپ رحم در ساری در صورت نیاز به تشخیص و درمان صحیح میتواند شامل اقدامات متنوعی مانند سونوگرافی، هیستروسکوپی و جراحیهای مختلف باشد.

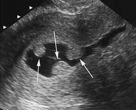
تشخیص پولیپ رحم در ساری با دکتر هدی حق نظر
پولیپهای رحمی از جمله تودههای رحم هستند که برای تشخیص آنها روشهای مختلفی وجود دارد. یکی از رایجترین روشها، سونوگرافی ترانس واژینال است که با دقت بالا انجام شده و کل حفره رحم را بررسی میکند. بهترین زمان انجام سونوگرافی جهت تشخیص پولیپ رحم، اواخر سیکل قاعدگی است، اما در زنان یائسه در هر زمان قابل انجام خواهد بود.
اگر نتایج سونوگرافی مشکوک باشد و پولیپ به وضوح دیده نشود، از روشهایی مانند سونوگرافی رنگی رحم، داپلر یا سونوگرافی سهبعدی جهت بررسی دقیقتر استفاده میشود. در برخی موارد، تنها افزایش ضخامت آندومتر مشاهده شده و پولیپ بهطور واضح قابل تشخیص نیست. در این شرایط، انجام هیستروسونوگرافی که در آن رحم با محلول خاصی پر شده و سپس بررسی انجام میشود، به شفافتر شدن نتایج کمک میکند.

درمان پولیپ رحم در ساری
پولیپهای رحمی در برخی موارد خودبهخود از بین میروند، اما در بسیاری از موارد نیاز به بررسی و درمان جدی تر دارند. برای درمان پولیپ رحم در ساری روشهای مختلفی وجود دارد که بسته به اندازه، علائم و شرایط بیمار تعیین میشوند.
پولیپهای کوچک که علائمی مانند خونریزی غیرطبیعی یا درد ایجاد نمیکنند، معمولاً تحت نظر گرفته میشوند و بیمار باید در فواصل مشخص سونوگرافی انجام دهد. در برخی موارد، این پولیپها بهمرورزمان کوچک شده و از بین میروند. با این حال، در موارد زیر درمان پولیپ رحم ضروری خواهد بود:
- پولیپهای بزرگ که باعث خونریزی غیرطبیعی میشوند.
- بیمار قصد بارداری دارد و پولیپ ممکن است مانعی برای لانهگزینی جنین باشد.
- در زنانی که در معرض سرطان رحم هستند، بررسی و درمان زودهنگام اهمیت دارد.
درمان دارویی (موقتی و غیرقطعی)
اگرچه داروهای هورمونی مانند پروژستینها و آگونیستهای GnRH میتوانند علائم پولیپ را کاهش دهند، اما این روش درمان قطعی محسوب نمیشود. پس از قطع مصرف دارو، احتمال عود پولیپ وجود دارد. به همین دلیل، این روش بیشتر برای کنترل موقت علائم استفاده میشود.
در برخی موارد، داروهای هورمونی برای تنظیم سطح هورمونهای بدن و کنترل رشد پولیپهای رحمی تجویز میشوند. این داروها ممکن است باعث کاهش اندازه پولیپها شوند، اما معمولاً یک راهحل موقتی میباشد.
داروهای جلوگیری از بارداری مانند قرصهای الدی نیز گاهی به منظور مهار تخمکگذاری و کاهش احتمال ایجاد کیستهای جدید تجویز میشوند. با این حال، درمان پولیپ رحم با دارو، راهکار دائمی محسوب نمیشود و معمولاً پس از توقف دارو، علائم دوباره ظاهر میشوند.
درمان جراحی (روش قطعی)
هیستروسکوپی بهترین روش برای درمان پولیپ رحم در ساری محسوب میشود. در این روش، یک دوربین مخصوص (هیستروسکوپ) از طریق واژن وارد رحم شده و حفره رحمی با محلول مخصوص پر میشود تا پزشک بتواند داخل رحم را بهطور دقیق بررسی کند. اگر پولیپ وجود داشته باشد، همان لحظه از رحم خارج شده و برای بررسیهای دقیقتر به آزمایشگاه پاتولوژی ارسال میشود.
روش کورتاژ تشخیصی
در برخی موارد، پزشک از روش کورتاژ تشخیصی برای برداشتن پولیپ استفاده میکند. این روش معمولاً در اتاق عمل انجام شده و پولیپ پس از برداشت برای آزمایشهای بیشتر ارسال میشود. اگر سلولهای غیرطبیعی یا سرطانی در پولیپ مشاهده شود، اقدامات درمانی بیشتر موردنیاز خواهد بود.
فیبروم را با با پولیپ رحم اشتباه نگیرید!
پولیپهای رحم در داخل حفره رحم و در بافت آندومتر شکل میگیرند، در حالی که فیبرومها یا میومهای رحمی در بافت عضلانی رحم ایجاد میشوند. علاوه بر این، فیبرومها دارای انواع مختلفی هستند که هر کدام در بخش خاصی از رحم ایجاد میشوند. این تفاوتها در محل و نوع تشکیل هر کدام باعث میشود که روشهای درمانی متفاوتی برای آنها مورد استفاده قرار گیرد.

چه عواملی باعث ابتلا به پولیپ های رحمی می شود؟
پولیپ رحم معمولاً در اثر تغییرات هورمونی ایجاد میشود. این زائده گوشتی از بافت آندومتر رشد کرده و در داخل حفره رحم دیده میشود. افزایش سن یکی از عوامل مهم در بروز این تودهها است، زیرا با افزایش سن، بدن تحت تأثیر نوسانات هورمونی تخمدان قرار میگیرد. همچنین، افرادی که چندین دوره از داروهای تحریک تخمک گذاری با دوز بالا استفاده کردهاند، ممکن است پس از مدتی در سونوگرافی متوجه ایجاد پولیپهای رحمی شوند.
دیگرعوامل موثر در ایجاد پولیپ رحم
- افزایش سن (معمولاً بین ۴۰ تا ۵۰ سال)
- یائسگی و تغییرات هورمونی پس از آن
- چاقی که باعث افزایش سطح استروژن در بدن میشود
- مصرف داروهای ضد استروژن
- فشار خون بالا که میتواند بر سلامت رحم و رشد غیرطبیعی بافتها تأثیر بگذارد
آیا پولیپ رحم دوباره عود میکند؟
اگر پولیپ بهطور کامل برداشته شود، احتمال عود آن بسیار کم است. اما در موارد نادر، ممکن است پس از مدتی مجدداً ظاهر شود. بیمارانی که در معرض خطر بدخیمی قرار دارند باید تحت نظر پزشک بوده و بررسیهای منظم انجام دهند.
علائم شایع پولیپ رحم
بیشتر تودههای خوش خیم رحم بدون علامت هستند و اغلب به طور تصادفی در سونوگرافی تشخیص داده میشوند. بااینحال، برخی از این تودهها، بهویژه پولیپهای رحمی، ممکن است با علائمی همراه باشند که در زیر به آنها اشاره شده است و نیاز به بررسی پزشکی دارند.
- لکهبینی قبل یا بعد از سیکل قاعدگی
- افزایش حجم خونریزی در دوران قاعدگی
- دفع لختههای خونی زیاد در طول عادت ماهیانه
- درد شدید و غیرطبیعی در دوران قاعدگی (در مواردی که پولیپ بزرگ باشد)
- خونریزی غیرطبیعی در زنان یائسه، که ممکن است نشانهای از افزایش ضخامت آندومتر باشد و نیاز به بررسی دقیقتری دارد.
اثرات پولیپ بر باروری
تحقیقات نشان دادهاند که حدود ۶ تا ۸ درصد از زنان مبتلا به ناباروری ممکن است دچار پولیپهای بدون علامت اندومتر باشند، اما این رقم میتواند تا ۳۲ درصد نیز افزایش یابد.
مکانیزم تداخل پولیپ با باروری هنوز بهطور کامل مشخص نیست، اما یکی از فرضیات این است که پولیپها میتوانند قدرت پذیرش رحم را برای لانهگزینی جنین کاهش دهند. اگرچه پولیپ به تنهایی عامل ناباروری نیست، تحقیقات متعددی نشان دادهاند که برداشتن پولیپ پیش از آغاز درمانهای کمک باروری مانند IUI (باروری داخل رحمی) و IVF (لقاح آزمایشگاهی) میتواند شانس موفقیت را بهبود بخشد و احتمال بارداری را افزایش دهد.
بنابراین، در زنان نابارور، درمان پولیپ رحم معمولاً قبل از شروع درمانهای کمک باروری انجام میشود تا از هر گونه مانعی برای بارداری جلوگیری شود. این اقدامات میتوانند نتایج درمانهای باروری را بهطور قابل توجهی بهبود بخشند.
آیا پولیپ رحم باعث سقط جنین میشود؟
خانمهایی که با وجود پولیپ رحم باردار میشوند، ممکن است نگرانیهایی در مورد سقط جنین و مشکلات مرتبط با آن داشته باشند. خوشبختانه، پولیپ رحم معمولاً سبب افزایش احتمال سقط در زنان باردار نشده و تأثیر منفی بر نتیجه بارداری ندارد. با این حال، در زنان با سقطهای مکرر که برای مشاوره به متخصص نازایی و سقط جنین مراجعه میکنند، معمولاً ضایعات حفره رحم بررسی میشود.
اگر در بررسیهای تشخیصی مانند عکس رنگی رحم، هیدروسونوگرافی یا سونوگرافی واژینال پولیپ رحم شناسایی شود، لازم است که پولیپ قبل از اقدام به بارداری مجدد برداشته شود. این عمل اغلب با هیستروسکوپی انجام میشود که روشی کمتهاجمی و مؤثر برای برداشتن پولیپها و بهبود شرایط رحم برای بارداری مجدد است.
آیا برداشتن پولیپ رحم همیشه ضرورت دارد ؟
برداشتن پولیپ رحم در مواردی که پولیپها علامتدار هستند، در هر سنی و با هر اندازهای ضروری است. اما برای پولیپهای بدون علامت، تنها در شرایط خاص نیاز به برداشتن وجود دارد که شامل موارد زیر میشود:
- پولیپهایی که از دهانه رحم آویزان هستند.
- پولیپهایی که بزرگتر از ۱.۵ سانتیمتر باشند.
- در افراد نابارور.
- در افرادی که دچار سقط مکرر هستند.
- پولیپهای متعدد.
- افراد یائسه که دچار لکهبینی یا خونریزی غیرطبیعی هستند.
در این موارد، برداشتن پولیپها بهمنظور جلوگیری از عوارض احتمالی و بهبود وضعیت سلامت رحم توصیه میشود.
آیا بعد از یائسگی هم مبتلا به پولیپ رحم می شویم؟
تودههای رحمی تنها مختص زنان در سنین قبل از یائسگی نیستند. در بسیاری از موارد، خونریزیها و لکه بینیها که بعد از یائسگی اتفاق میافتند، به دلیل پولیپ های داخل رحمی هستند. این پولیپها ممکن است از قبل از دوره یائسگی وجود داشته باشند یا بعد از آن ایجاد شوند.
در دوران یائسگی، این بیماری میتواند با علائم خاصی همراه باشد. بهطور معمول، زنان پس از چند سال پریود نشدن ممکن است با لکهبینی مواجه شوند. در این شرایط، مراجعه به بهترین متخصص زنان ساری برای بررسی دقیق ضروری است.
بهترین جراح پولیپ رحم در ساری
بهترین و دقیقترین روش استاندارد برای برداشتن پولیپهای داخل حفره رحم، هیستروسکوپی است که امکان مشاهده مستقیم و دقیق محل پولیپ را فراهم میکند. استفاده از هیستروسکوپی در برداشتن پولیپ رحم باعث میشود حتی کوچکترین پولیپها نیز از دید جراح پنهان نمانند. اگر با خونریزی زیاد، لکهبینی، نازایی یا سقط مکرر مواجه هستید، میتوانید برای دریافت مشاوره و درمان مناسب به دکتر هدی حق نظر مراجعه فرمایید.
دکتر هدی حق نظر یکی از بهترین جراحان درمان پولیپ رحم در مازندران هستند. ایشان با سالها تجربه و تخصص در زمینه نازایی و هیستروسکوپی، قادر به تشخیص دقیق و ارائه درمانهای کارآمد برای بیماران مبتلا به پولیپهای رحمی هستند.
آیا پولیپ رحم درد دارد؟
بسیاری از افراد نگران این موضوع هستند که آیا پولیپ رحم باعث درد میشود یا نه. به طور کلی، تودههای خوشخیم رحمی معمولاً علائم قابل توجهی ندارند و اغلب در سونوگرافی شناسایی میشوند. اما یکی از علائم شایع که میتواند فرد را از وجود پولیپهای رحمی آگاه کند، دردهای پریودی است. این دردها معمولاً در دوره پریودی شدیدتر میشوند و ممکن است با خونریزیهای لختهای همراه باشند، که میتواند نشانهای از وجود پولیپ در رحم باشد.
آیا دارویی برای درمان پولیپ رحم وجود دارد؟
در برخی موارد، پولیپهای رحم کوچک و در مراحل ابتدایی هستند. در این شرایط، پزشک ممکن است داروهایی برای درمان پولیپ رحم تجویز کند. با این حال، درمان پولیپ رحم با دارو معمولاً یک راهحل موقتی است و علائم غالباً پس از قطع دارو دوباره عود میکنند. برای درمان قطعی، نیاز به اقدامات دیگری مانند جراحی ممکن است ضروری باشد.
آیا پولیپهای رحم خوش خیم هستند؟
به طور معمول، درصد زیادی از پولیپ های رحمی خوشخیم هستند. با این حال، نمیتوان بلافاصله پس از تشخیص، به طور قطعی گفت که پولیپ خوشخیم یا بدخیم است. پس از انجام بررسیهای پاتولوژی و دریافت نتیجه، تصمیمگیری در مورد درمان نهایی انجام میشود.
اگر پولیپ خوشخیم باشد، معمولا نیازی به جراحی نخواهد بود. اما در صورتی که پولیپ بدخیم تشخیص داده شود، ممکن است نیاز به روشهای درمانی مانند هیسترکتومی (برداشتن رحم) باشد.